Caso real con afección que precisa cirugía en la mano
Compartimos con vosotros este caso de paciente que sufre herida en dorso de mano derecha por hacha.
Derivado de otro centro , informan de lesión tendinosa de 2° y 3° radios y posible ósea. Es muy importante que en los casos de lesiones de la mano, estás sean tratadas, desde un inicio, por un especialista en cirugía de la mano.
Cirugía de la mano
En quirófano se aprecia lesión completa del aparato extensor en zona 5, con afectación capsular, así como afectación ósea del 1/3 superior de la superficie articular de la cabeza de ambos metacarpianos (MTC).
Asimismo, presentaba lesión del ligamento colateral metacarpofalángico (MCF) radial del 3°radio y del ligamento.transverso intermetacarpiano.
Se procede a la reparación de todo el aparato extensor (tendón, bandas sagitales y contribución tendinosa de los interóseos dorsales), de la cápsula articular y elementos ligamentosos ( suturas Prolène 4 y5/0 y Vicryl 4/0 rapid).
Para la lesión ósea, por su tamaño, localización, riesgo de rotura si implementábamos tornillo tipo Herbert a compresión. Al ser sección muy limpia, se opta por Tissucol como elemento adhesivo fibrinoso cohesivo.
El cierre capsular correcto y la posterior inmovilización con MCF’s a 45° son suficientes para contener ese tipo de fragmentos ostecondrales.
A más tardar, a los 10-14 días, se debe empezar con tratamiento rehabilitador asistido y controlado.
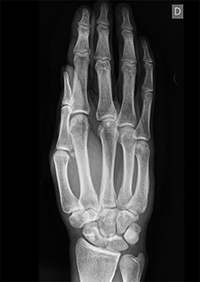
Las lesiones por arma blanca son muy lesivas aunque la afectación cutánea pueda ser escasa y la radiología, como podéis ver, difícil de valorar.
Por eso recomendamos ser muy sistemáticos en la revisión e identificación de las zonas afectadas para así poder proceder a su reparación efectiva y, sobretodo, poder establecer un planning de Rehabilitación adecuado.
El equipo de TRAUMAUNIT siempre estará a la vanguardia de todas las innovaciones y las últimas técnicas que surgen en nuestra especialidad para ofrecer la mejor atención médica a nuestros pacientes.
Si deseas más información sobre cirugía de la mano y muñeca o deseas concertar una primera visita, no dudes en contactar con nosotros.
Doctor Pau Lopez-Osornio
Dr. Joaquín Casañas
Dr. Joaquín CasañasDr. Joaquín Casañas es un especialista destacado en cirugía ortopédica, traumatología, pero sobre todo en nervio periférico, plexo braquial y cirugía de la mano, de cuyas 3 especialidades atesora un gran prestigio internacional. Licenciado en Medicina y Cirugía por la Universidad Central de Barcelona en 1988, completó su formación como médico residente (MIR) en la Ciudad Sanitaria y Universitaria de Bellvitge. Cuenta con el Diplomado Europeo en Cirugía de la Mano desde el 2000. Ha trabajado en diversas instituciones, incluyendo el Hospital de Meritxell en Andorra y el Hospital Germans Trias i Pujol de Badalona. Desde 1994, es médico adjunto en el servicio de Cirugía Ortopédica y Traumatología de la Ciudad Sanitaria y Universitaria de Bellvitge. Además de su práctica clínica, ha contribuido con numerosas publicaciones científicas y capítulos de libros en su campo. En la actualidad da conferencias en diferentes congresos internacionales en relación a sus principales especialidades, además de dirigir Traumaunit, la unidad de traumatología de Teknon en Barcelona.

